궁금하신 사항을 아래 문의 내용에 입력해주시면
보다 빠르게 전화로 상담을 도와드립니다
CUSTOM DENTAL CLINIC
| <교정 전 신경치료> 치근단 염증으로 틀어진 앞니 회복 작성일 | 2026.04.13 작성자 | 관리자 |
|---|
|
[신경치료 증례] 심각한 치근단 염증으로 틀어진 앞니 회복
"앞니가 비뚤어져서 교정을 하고 싶어요"라는 주소(주요호소)로 내원하신 성인 환자분의 사례입니다.
환자분의 자각 증상처럼 육안상 상악 우측 측절치(#12)가 원래의 배열에서 벗어나 심하게 틀어져 있는 상태였습니다.
하지만 의료진의 관점에서 치아가 갑작스럽게 이동하거나 비뚤어지는 현상은 단순히 교합력의 문제가 아니라, 치아 뿌리 주변의 잇몸뼈(치조골)에 심각한 병리적 변화가 발생했음을 암시하는 강력한 임상적 단서입니다.
본 증례는 정확한 감별 진단이 선행되지 않은 무분별한 교정 치료가 얼마나 위험할 수 있는지 보여주는 중요한 사례입니다.
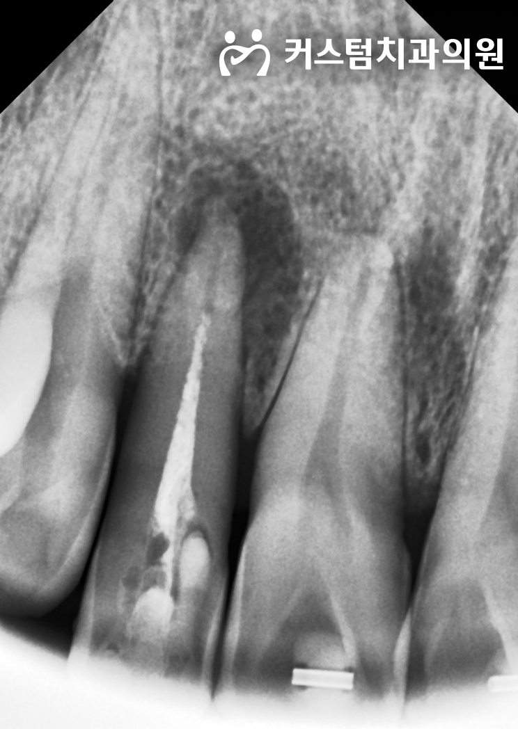
2023년 7월 21일 첫 진료 시 촬영한 방사선 사진입니다.
구내 사진을 보면 과거에 치료받았던 충치 수복물 하방으로 깊은 2차 우식(충치)이 진행되어 치아가 심하게 변색되어 있습니다.
![]() ![]()
더 심각한 문제는 방사선 사진에서 확인됩니다.
우측 측절치 뿌리 끝에 잇몸뼈를 광범위하게 녹여버린 치근단 염증 병소가 관찰됩니다.
즉, 치열이 틀어진 진짜 원인은 치아가 삐뚤게 자란 것이 아니라, 뿌리 끝에서 팽창한 염증성 조직이 물리적인 압력을 가해 치아를 바깥쪽으로 밀어냈기 때문이었습니다.
이 상태에서 무리하게 교정 장치를 붙여 치아를 당겼다면, 뼈가 녹아있는 상태이므로 치아가 완전히 탈락(발치)되는 치명적인 결과를 초래했을 것입니다.
![]()
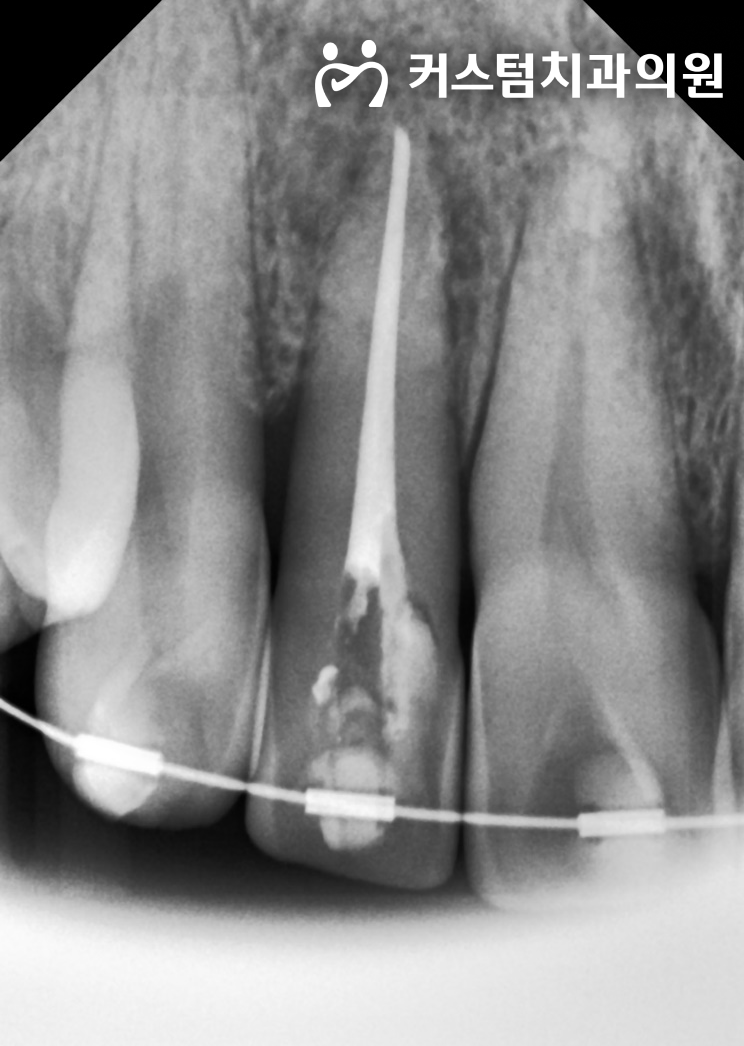
치열교정이 아닌, 병소의 원인을 제거하는 신경치료를 즉각적으로 시작했습니다.
위 사진은 2023년 10월 12일, 신경관 내부의 오염 물질을 제거하고 항균 약재를 첩포해 둔 치료 중간 과정입니다.
일반적인 신경치료에 비해 치료 기간이 수개월 단위로 길어진 이유는 염증의 크기 때문입니다. 뿌리 끝에 가득 찬 염증성 삼출물(고름)이 완전히 배농되고, 세균이 소멸하여 텅 빈 공간에 환자 본인의 잇몸뼈가 스스로 재생될 때까지 기다리는 물리적인 치유 기간이 반드시 필요했습니다.
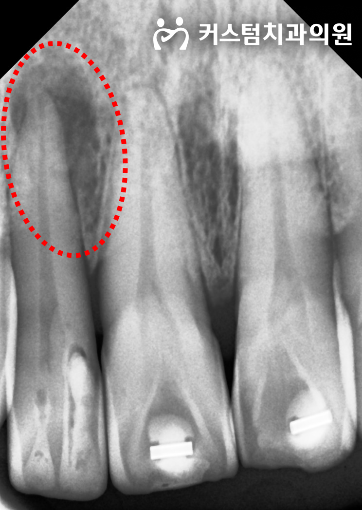
![]() 약 5개월 이상의 면밀한 추적 관찰을 통해 염증이 완전히 소실되고 치아가 본래의 안정성을 되찾은 것을 확인했습니다.
가장 주목할 만한 점은 염증이라는 근본적인 압력이 사라지면서, 밀려나 있던 치아가 주변 잇몸 조직과 함께 자연스럽게 안정적인 위치로 자리 잡았다는 것입니다.
눈에 보이는 현상(틀어진 치아)을 해결하는 것은 기술이지만, 보이지 않는 진짜 원인(치근단 염증)을 찾아내어 원칙대로 치료하는 것은 의료진의 진단 능력입니다.
성인이 된 후 갑자기 특정 치아의 배열이 틀어지거나 치아 사이가 벌어진다면, 섣불리 치열만 맞추려 하기보다는 치아 뿌리와 잇몸뼈 상태에 대한 객관적이고 정밀한 방사선 진단을 먼저 받아보시기를 적극 권장합니다.
치과교정과 & 통합치의학과 더블보드 전문의
치과의사 김종성 작성 |
| 이전글 | 치과의사 중에서도 '교정과 전문의'를 선택한 진짜 이유 <원장님 인터뷰> 2026.03.25 |
|---|---|
| 다음글 | 다음 게시글이 없습니다. |
| 임플란트 | 오스템 임플란트 | 100만원 |
|---|---|---|
| 가이드 | 10만원 | |
| 단순 뼈이식 | 15만원 | |
| 멤브레인 | 10만원 | |
| 커스텀 어버트먼트 | 10만원 | |
| 상악동(Crestal) | 50만원 | |
| 상악동(Lateral) | 100만원 | |
| 스크류교체 | 5만원 | |
| R.Hole | 6만원 | |
| 보철치료 | 지르코니아(전치부) | 60만원 |
| 골드 크라운 | 70만원 | |
| 지르코니아(구치부) | 50만원 | |
| 임시치아 | 5만원 | |
| 보존치료 | 레진(pit) | 5만원 |
| C.A | 7만원 | |
| 레진(BT) | 30만원 | |
| 레진(단순) | 10만원 | |
| 레진(복잡) | 15만원 | |
| 레진(인접면) | 8만원 | |
| 레진(전치 인접면) | 15만원 | |
| 하이브리드 인레이 | 28만원 | |
| 골드 인레이 | 43만원 | |
| 레진코아 | 5만원 | |
| Direct post | 10만원 | |
| Direct post(대구치) | 15만원 | |
| 예방치료 | 성인 불소도포(Gel) | 4만원 |
| 성장판 검사 | 5만원 | |
| 미용 (과세) | 전문가 미백 | 28만원 |
| 자가 미백 | 23만원 | |
| 실활치 미백 1회 / core 제외 | 10만원 | |
| 기타치료 | Scaling(비급여) | 6만원 |
| 이갈이 장치 | 60만원 | |
| 턱관절 스플린트 | 90만원 | |
| 교정치료 | 교정 진단 | 10만원 |
| Clippy-c I | 340만원 | |
| Clippy-c II | 370만원 | |
| Clippy-M | 320만원 | |
| Clippy-콤비 | 330만원 | |
| Damon | 390만원 | |
| 소아교정 | 220만원 | |
| 교정 발치 | 5만원 | |
| mini screw | 10만원 | |
| Fixed Retainer(부분) | 2만원 | |
| Fixed Retainer(타의원) | 5만원 | |
| 가철식 유지장치 | 20만원 | |
| circum(타의원) | 35만원 | |
| 성장조절장치 | 150만원 | |
| ABP | 30만원 | |
| RPE | 30만원 | |
| MARPE | 50만원 | |
| Surgical Uncovering | 100만원 | |
| 부분교정 상+하악(레진BK/3-3) | 190만원 | |
| 부분교정 편악(레진BK/3-3) | 99만원 | |
| 부분교정 편악(Clippy-c) | 120만원 | |
| 부분교정 상+하악(MTA/3-3) | 190만원 | |
| 부분교정 편악(MTA/3-3) | 99만원 | |
| 설측장치 | 700만원 | |
| 인비절라인 | 650만원 | |
| Plate | 30만원 | |
| Essix | 10만원 | |
| 앞니교정장치제거(악당) | 30만원 | |
| 브라켓 레진제거(타치과)/개당 | 2만원 |